NEWS AND DENTAL EDUCATION

Resin Veneers or better know as composite veneers are thin shells of tooth-colored, translucent filling, custom made to fit over teeth and improve their color, shape and overall appearance. Placement of composite veneers can dramatically improve your smile and appearance.
Placement of dental veneers is sometimes referred to as “instant orthodontics” because they can be used to cover a variety of dental problems involving teeth in the “smile zone” including:



Dental veneers (either composite or porcelain veneer) can improve the appearance of the teeth but they cannot realign the jaw or correct overbites and underbites. Orthodontics are required to correct these more complicated problems.
The major disadvantages of porcelain veneers over composite resin include the following:
Porcelain veneers have several advantages compared to composite resin including:

This young man complaint of generalized spacing and a peg-shaped right lateral incisor. Composite material was used to close all the gaps between his teeth (Below).

This patient fell down and broke her front teeth while playing spot. The tooth was restore with composite veneer. ‘Stained’ or chalky white patches resin composite was place on the front surface of the veneer to mimic the neighbour teeth (Below).


Old filling at the center of his upper front teeth looked yellowish and rough. Those fillings were removed and replaces by new composite veneers (Below).


Yellow stain due to uneven surface at the front teeth and old yellow filling were replace by composite veneers (Below).


Multiple decays at the front teeth were treated with composite veneer (Below).


Defect of the lateral incisor was repaired with resin composite (Below).


Generalize unevenness of this young man front teeth gave a older look. With composite veneer correction, he looks youthful again!! (Below).


Old composite veneers on all the six front teeth on this lady was stained at the margin. The composite were removed and were replaced with the new one (Below).

Dental veneers are not appropriate for everyone or every tooth. Case selection is an extremely important factor in the success of this technique. Veneering teeth is not a reversible procedure if tooth structure must be removed to achieve your desired result Only an examination by your dentist can determine whether dental veneers are appropriate for making the changes you want. Some of the situations where certain teeth or people are not good candidates for dental veneers include:
Dental veneers can chip or come off if not cared for properly. To improve their durability and longevity you need to maintain consistent good oral hygiene and have regular dental examinations and cleanings at least twice each year. In addition, you must avoid using them to bite or crack hard objects like nuts and ice.
The closest cosmetic alternative to composite veneers is porcelain veneers which are more durable and more resistance to staining. However, they are more costly and require at least 2 visits. On top of that, there is another method to improve smile: Snap-on Smile, a multi-purpose restorative appliance that requires no preparation or altering of tooth structure, no injections, and no adhesives. It is non-invasive, making it completely reversible.
Dental crowns may also be used to correct the same problems that dental veneers correct, however it is a much less conservative procedure.
…
Topics


We are using high quality filling materials which are not only strong but match with your teeth perfectly. No one will even notice it. Take a look at some of cases that were done in our clinic…
Gaps between teeth can be reduced with veneers or crowns. However, the simplest way to have them done is by using white fillings.
Any fractured tooth can be restored with composite fillings. You will be able to enjoy your food better and smile big smiles.
Even a chipped tooth due to a fall can be restored!!
Composite filling material was used to improve the shape and colour of old veneers of all the front teeth.
Decay and gap seen at the right central incisor was restored with aesthetic fillings.
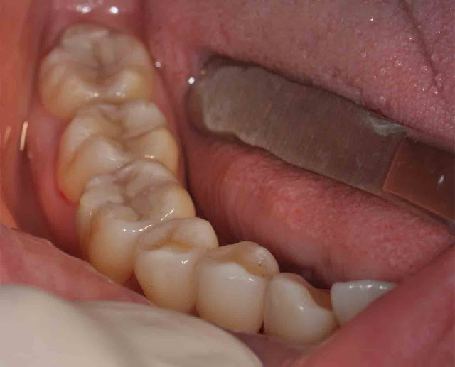
Multiple old silver restorations was replaced with composite fillings which resulted in the fillings almost undetectable.
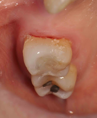
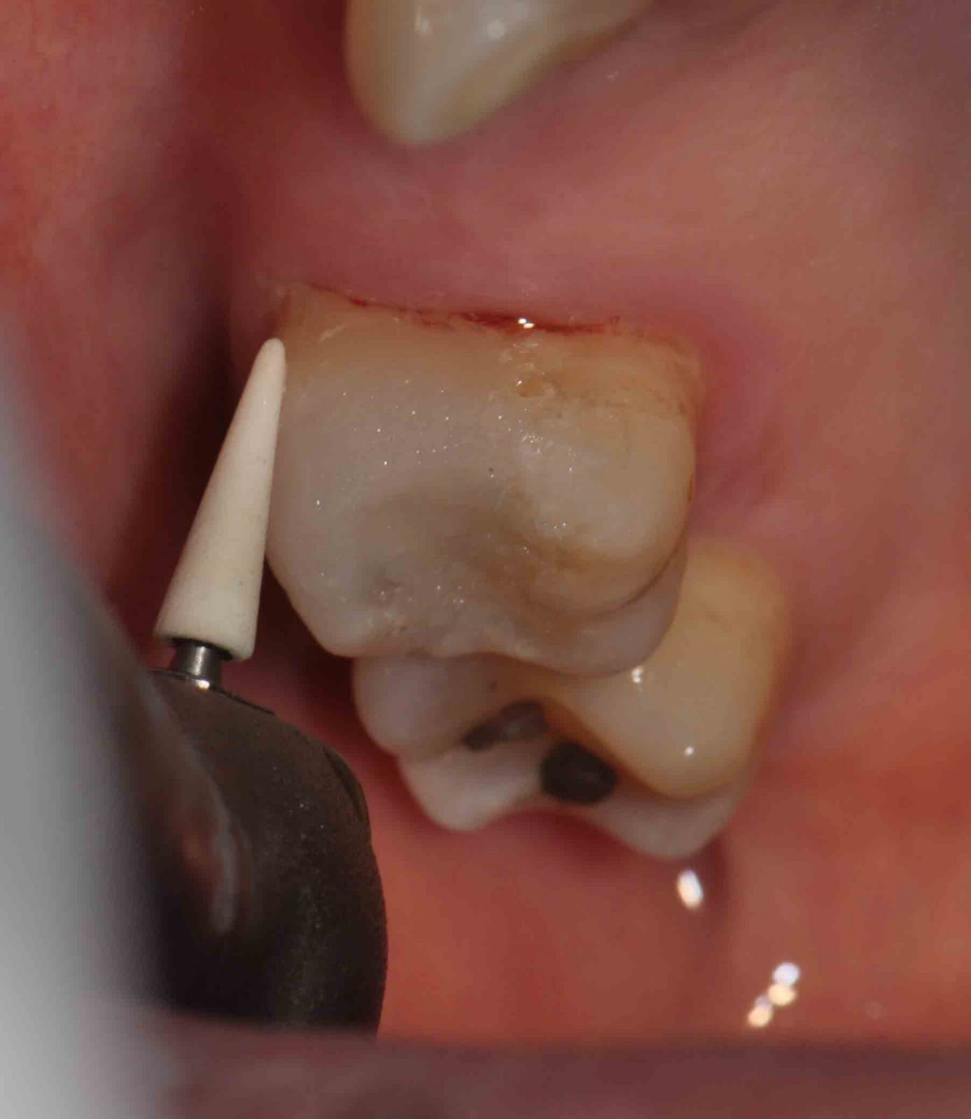
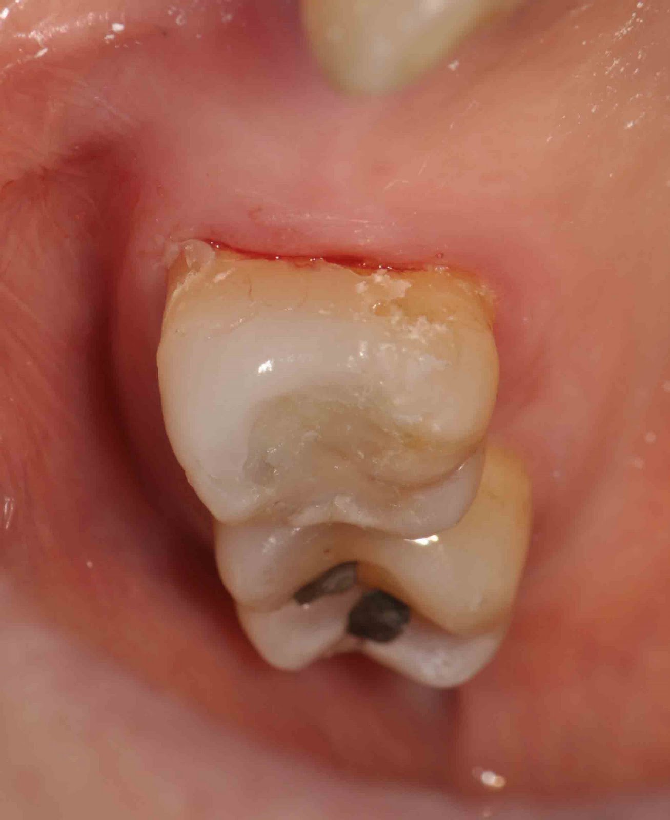
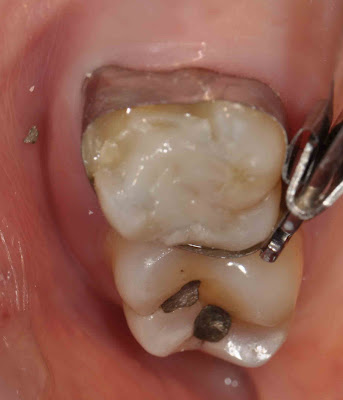
A large cavity on a molar was restored with white filling.
The malformed canine was contour into a nice tooth.
Another old silver filling was restored with white filling.
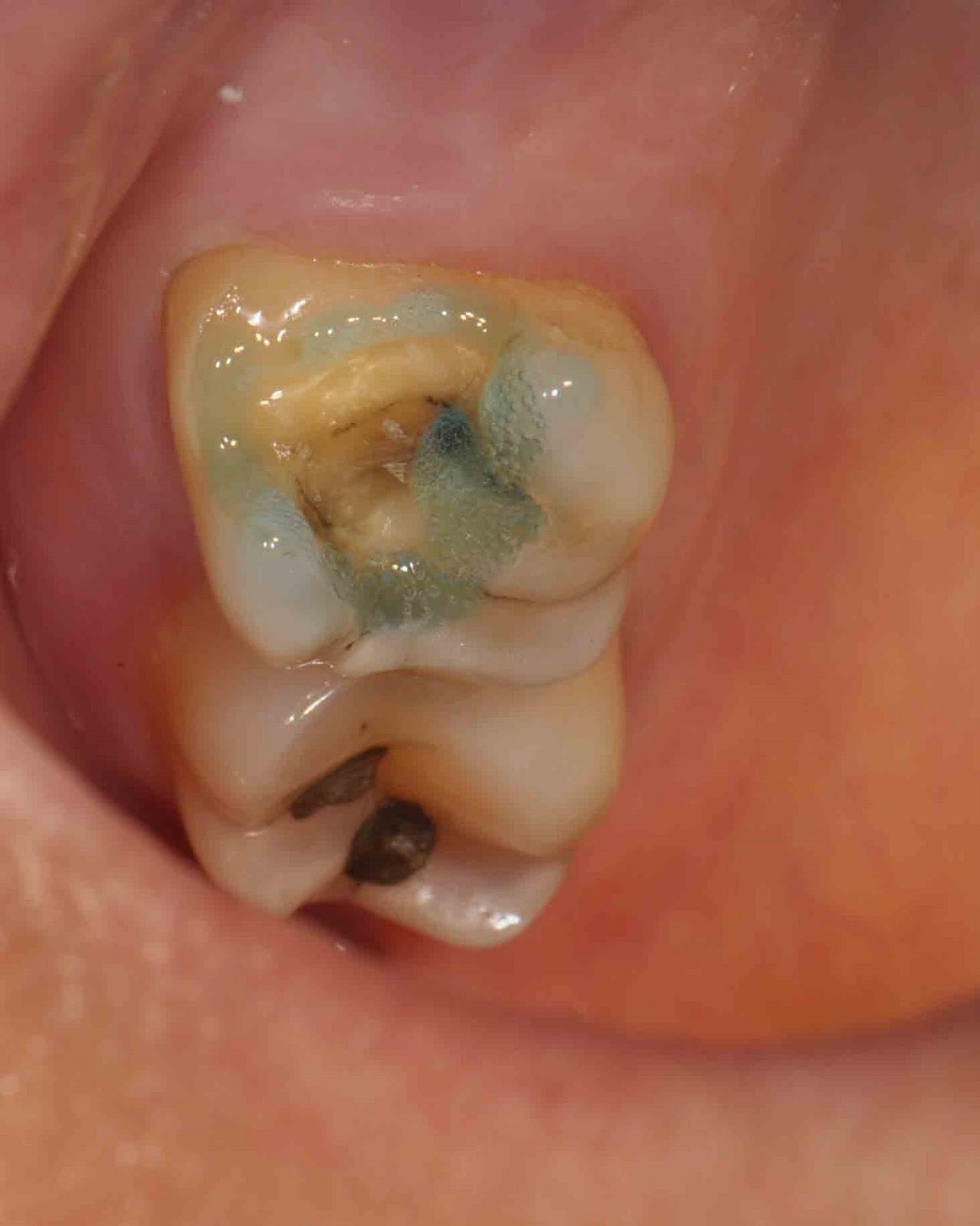
Extensive cavity of the tooth was restored with composite filling.
Book an appointment with our doctors now!! Click here
We accept Cash, Credit Card, Grabpay, Alipay, Touch n Go, MayBank QRPAY and Boost
Copyright 2026. All rights reserved.
Contact us now
If you have any question, don’t hesitate to contact us, we are more than glad to provide you with the information you need!